NIH Record - National Institutes of Health
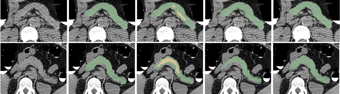
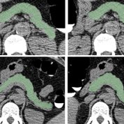
series of CAT scan images of pancreases of 2 patients

April 29, 2022

  • Latest Town Hall Addresses Return Concerns

    NIH acting director Dr. Lawrence Tabak hosted the 10th virtual town hall on coronavirus on Apr. 5 to bring workers up to speed on the state of the pandemic in the community and changes they could expect regarding the job site.
  • Denison Advises Getting Ahead of Antiviral Drug Resistance

    Antiviral treatment options for Covid-19 are limited. So what happens if the virus develops resistance to one of these drugs? Dr. Mark Denison of Vanderbilt University Medical Center is studying antiviral resistance to remdesivir.
  • Investigators Share Insights on Long Covid

    Millions of people have contracted Covid-19, but some still can't get over it. Their symptoms persist. Often called long Covid, the condition is difficult to diagnose and treat. Several investigators from NIH's RECOVER initiative discussed their research thus far.
  • Tabak Leads Discussion on Biomedical Research Contracts with HBCUs

    NIH acting director Dr. Lawrence Tabak opened a conversation about the agency’s engagement with Historically Black Colleges and Universities (HBCUs) during a recent virtual roundtable with their presidents and chancellors. Thirteen HBCUs participated in the discussion.
series of CAT scan images of pancreases of 2 patients

On the Cover

CT scans of the pancreas from two patients (rows). The columns show (from l) the original CT image, a reference manual segmentation, an automated segmentation by use of deep learning, a manual segmentation by a second observer to compute interobserver variability and a repeat manual segmentation to compute intraobserver variability. The automated segmentations were used in a large-scale study of the effect of Type 2 diabetes on the pancreas.

HIMA TALLAM, DANIEL C. ELTON, SUNGWON LEE, PAUL WAKIM, PERRY J. PICKHARDT, RONALD M. SUMMERS

The NIH Record

The NIH Record, founded in 1949, is the biweekly newsletter for employees of the National Institutes of Health.

Published 25 times each year, it comes out on payday Fridays.

Editor: Dana Talesnik
Dana.Talesnik@nih.gov

Assistant Editor: Eric Bock
Eric.Bock@nih.gov

Assistant Editor: Amber Snyder
Amber.Snyder@nih.gov